ファーストデンタルクリニックうるま
ファーストデンタルクリニックうるま
HOME
医院紹介
医師紹介
理事長紹介
設備紹介
アクセス
コラム
診療案内
虫歯治療
予防歯科
PMTCについて
歯周病
歯周病と全身疾患
小児歯科
お子さんの喘息(ぜんそく)で悩んでいませんか?
矯正歯科
咬み合わせ
咬合治療
バイオブロック矯正
矯正をやるにあたって大事なこと
矯正歯科Q&A
矯正装置の種類について
コルチコトミー矯正
当院の矯正歯科治療を受けた患者様の声
インプラント
インプラントQ&A
沖縄初導入!ジルコルニアインプラントとは
インプラント10年保証
大人の矯正
小児矯正
お子さんの喘息(ぜんそく)で悩んでいませんか?
咬合育成治療
審美歯科
ノンメタル歯科治療
ホワイトニング
インビザライン
iTeroについて
インビザラインファースト
入れ歯
訪問歯科
料金表
デンタルローン
お問い合わせ
症例一覧
ホワイトニング症例一覧
インプラント症例一覧
矯正歯科症例一覧
矯正歯科の
症例一覧
ホーム
症例集
矯正歯科
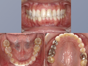
3Dシステム・3Dクアドヘリックス
矯正歯科
10代・女性
この症例を見る
矯正(3Dシステム・3Dクアドヘリックス)
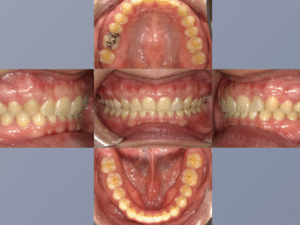
矯正歯科
20代・女性
この症例を見る
インビザラインgo
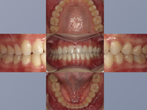
矯正歯科
20代・男性
この症例を見る
矯正(3Dシステム+インビザライン)
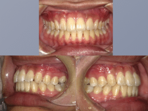
矯正歯科
20代・女性
この症例を見る
矯正(3Dシステム+インビザライン)
矯正歯科
20代・女性
この症例を見る
HOME
医院紹介
医師紹介
理事長紹介
設備紹介
アクセス
コラム
診療案内
虫歯治療
予防歯科
PMTCについて
歯周病
歯周病と全身疾患
小児歯科
お子さんの喘息(ぜんそく)で悩んでいませんか?
矯正歯科
咬み合わせ
咬合治療
バイオブロック矯正
矯正をやるにあたって大事なこと
矯正歯科Q&A
矯正装置の種類について
コルチコトミー矯正
当院の矯正歯科治療を受けた患者様の声
インプラント
インプラントQ&A
沖縄初導入!ジルコルニアインプラントとは
インプラント10年保証
大人の矯正
小児矯正
お子さんの喘息(ぜんそく)で悩んでいませんか?
咬合育成治療
審美歯科
ノンメタル歯科治療
ホワイトニング
インビザライン
iTeroについて
インビザラインファースト
入れ歯
訪問歯科
料金表
デンタルローン
お問い合わせ
症例一覧
ホワイトニング症例一覧
インプラント症例一覧
矯正歯科症例一覧