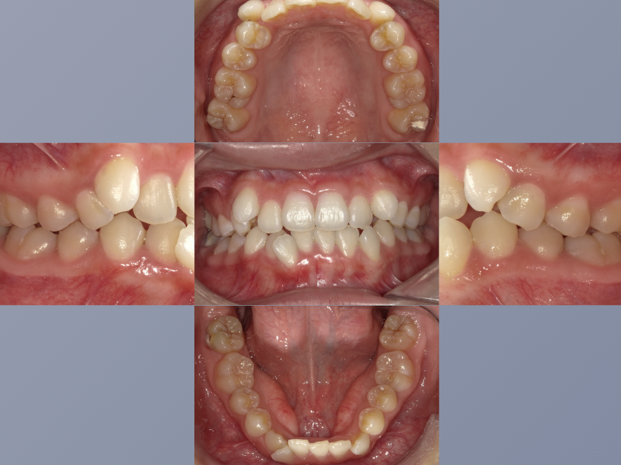
治療前
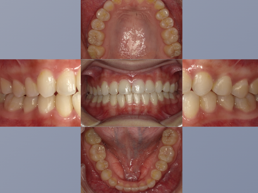
治療後
| 年齢・性別 | 20代・女性 |
|---|---|
| 主訴 | 歯並びが気になる。 |
| 期間 | 2年6カ月 |
| 費用 | 1,452,000円 |