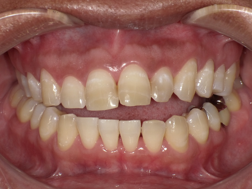
治療前
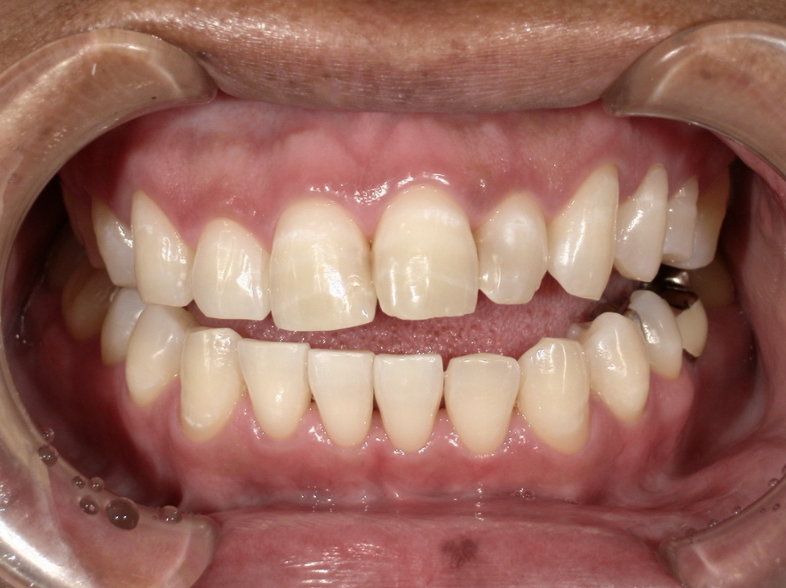
治療後
| 治療名称 | オフィスホワイニングプロGO |
|---|---|
| 年齢・性別 | 40代・男性 |
| 主訴 | 歯の黄ばみが気になる |
| 期間 | 2週間 |
| 費用 | 42,000円 |