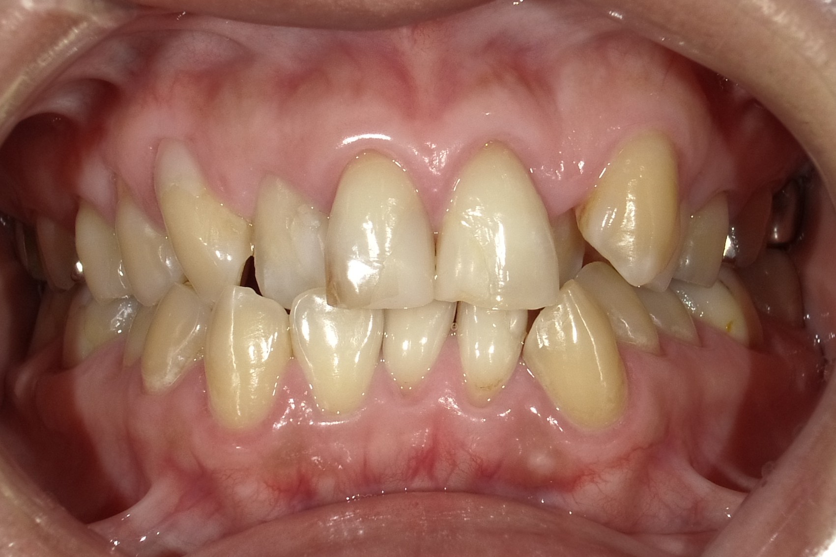
治療前
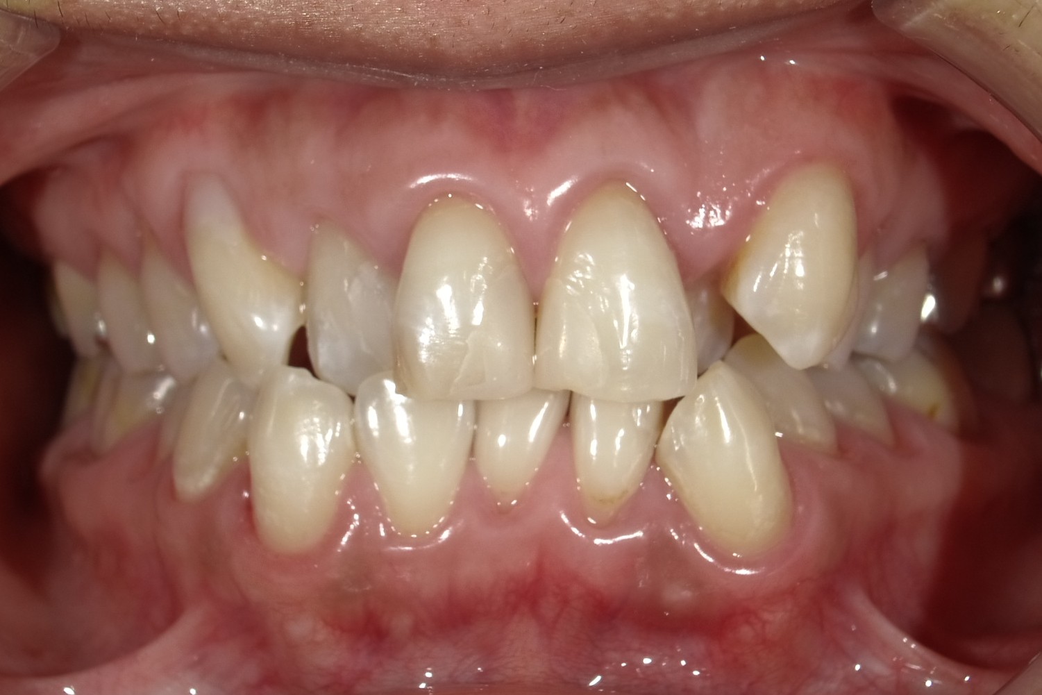
治療後
| 治療名称 | オフィスホワイトニングコース |
|---|---|
| 年齢・性別 | 30代・女性 |
| 主訴 | 歯並びが悪く着色が付きやすい。ホワイトニングしたい。 |
| 期間 | 1~2カ月(4回) |
| 費用 | 72,600円 |
| 治療内容 | オフィスホワイトニング(ライト照射×2回)4日間 ※10~2週間以内に2回施術を行う。 半年以内にタッチアップを1回行う。 |