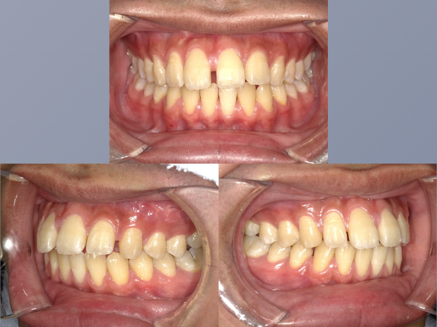
治療前
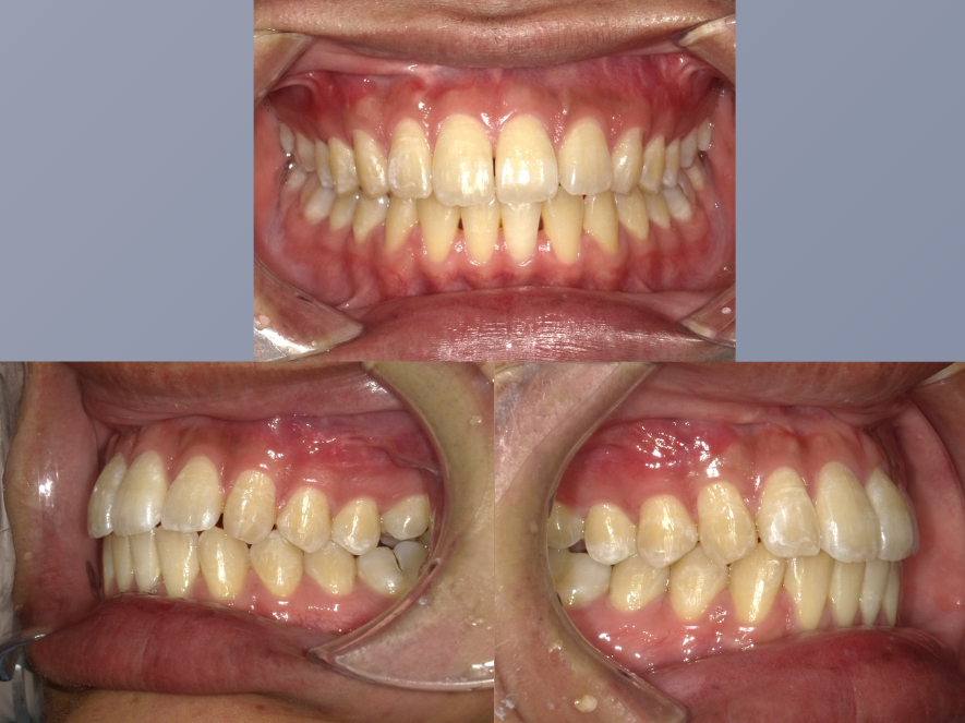
治療後
| 年齢・性別 | 20代・男性 |
|---|---|
| 主訴 | インビザラインが気になる。 |
| 期間 | 1年9カ月 |
| 費用 | 495,000円 |