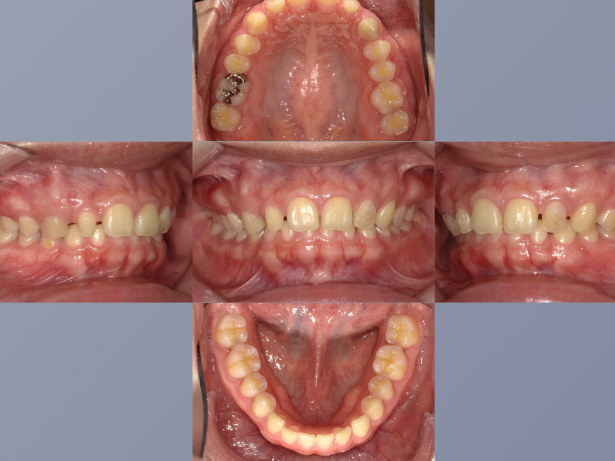
治療前
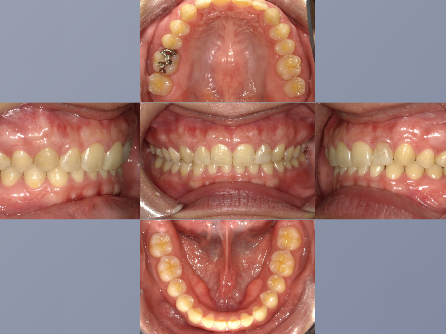
治療後
| 治療名称 | 3Dシステム+インビザライン |
|---|---|
| 年齢・性別 | 20代・女性 |
| 主訴 | 他院にて1年前上のすきっぱ気になり矯正をスタートしたが、体調が悪くなった。(頭痛・息苦しい・かみ合わせが合わないなど)、歯並び・不定愁訴の改善 |
| 期間 | 2年間 |
| 費用 | 1,452,000円 |
| 治療内容 | 顎の正しい位置を診断する為の装置を装着しながら内側から付ける装置で、顎の位置を正常な位置にもっていくという大切な治療を平行して行い、舌房や気道を広げた後に、インビザラインに移行し、歯並びを並べます。 |