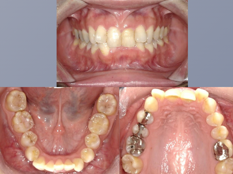
治療前
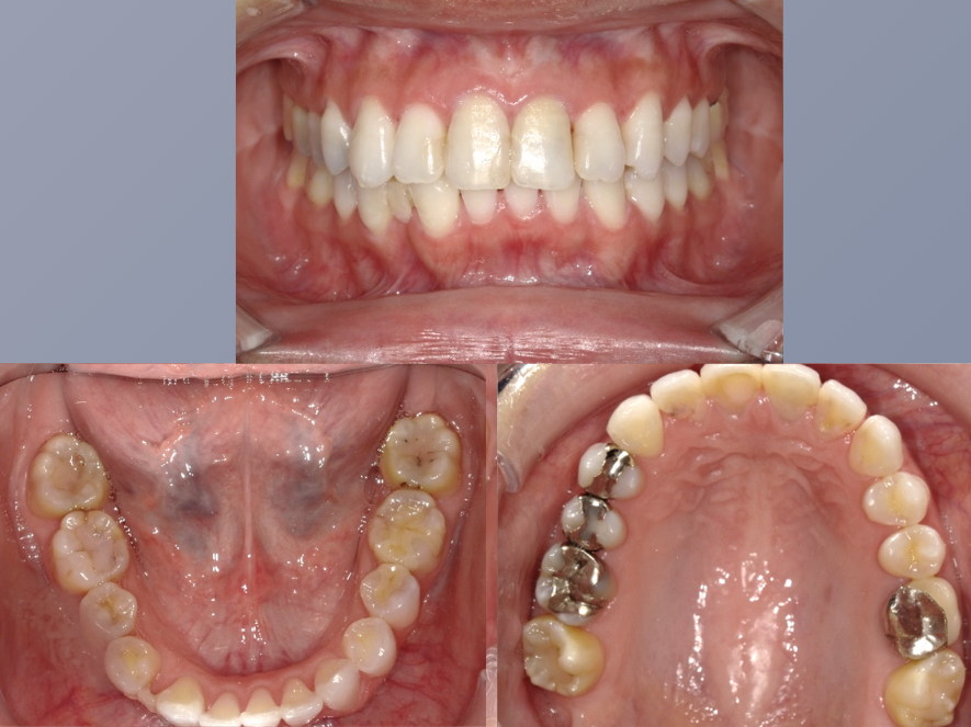
治療後
| 年齢・性別 | 20代・女性 |
|---|---|
| 主訴 | 前歯の歯並びが気になる。 |
| 期間 | 2年4ヶ月 |
| 費用 | 1,001,000円(税込) |
| 治療内容 | 矯正の前半に舌側から付ける装置で、歯の裏側に装着するため他人からは全く見えません。 顎の位置を正常な位置にもっていくという一番大切な治療を平行して行い、舌房や気道を広げます。 歯並びだけではなく健康な口腔内を作り出していくことが可能です。 |