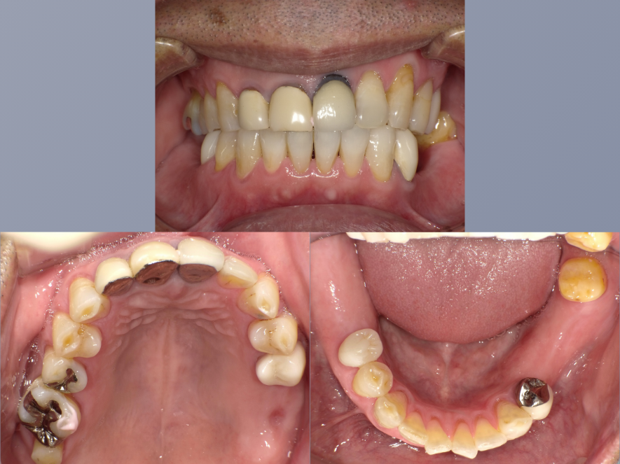
治療前
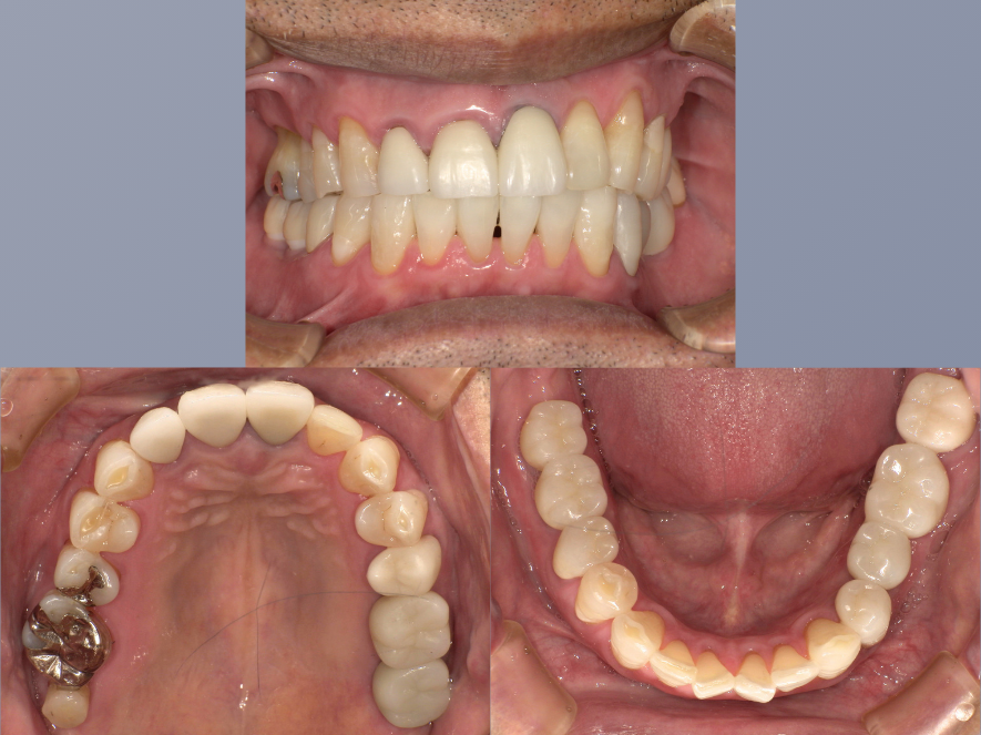
治療後
| 治療名称 | チタンインプラント |
|---|---|
| 年齢・性別 | 60代・男性 |
| 主訴 | 何度入れ歯を作っても合わないのでインプラントにしたい。 |
| 期間 | 2年6カ月 |
| 費用 | 2,494,800円 |