治療前
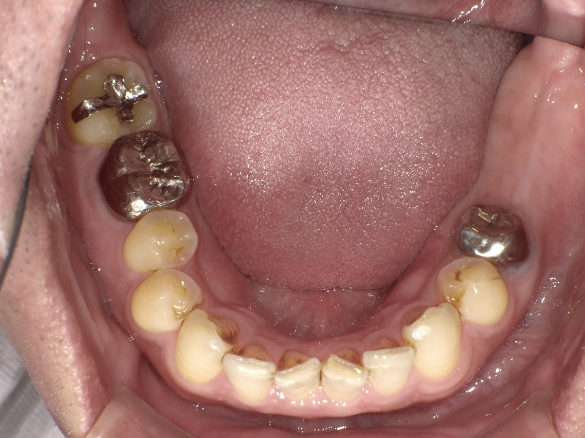
治療後
| 年齢・性別 | 40代・男性 |
|---|---|
| 主訴 | 左下7番の抜歯後、欠損部を補いたい。 ブリッジによる治療で健康な歯を削ることに抵抗があるため、左下6・7番にインプラントを希望。 |
| 期間 | 9か月 |
| 費用 | 1,067,000円。保証はインプラントオペ後1年目〜3年以内は院内保証(インプラント料金に込み)がありますが、4年目以降は別途費用がかかりますが保証は可能です。任意保証になりますので金額は患者さんが選ぶ保証によって変わります。 ※患者さんの口腔内の状態によってインプラント治療の金額は異なります。 |
| 治療内容 | 左下7番がむし歯により状態悪く抜歯後、ギシだと両側の歯を削っての作製で、健康な歯を削る事が気になるので元々欠損していた左下6番と一緒に2本分インプラントで進めていきたい。 |