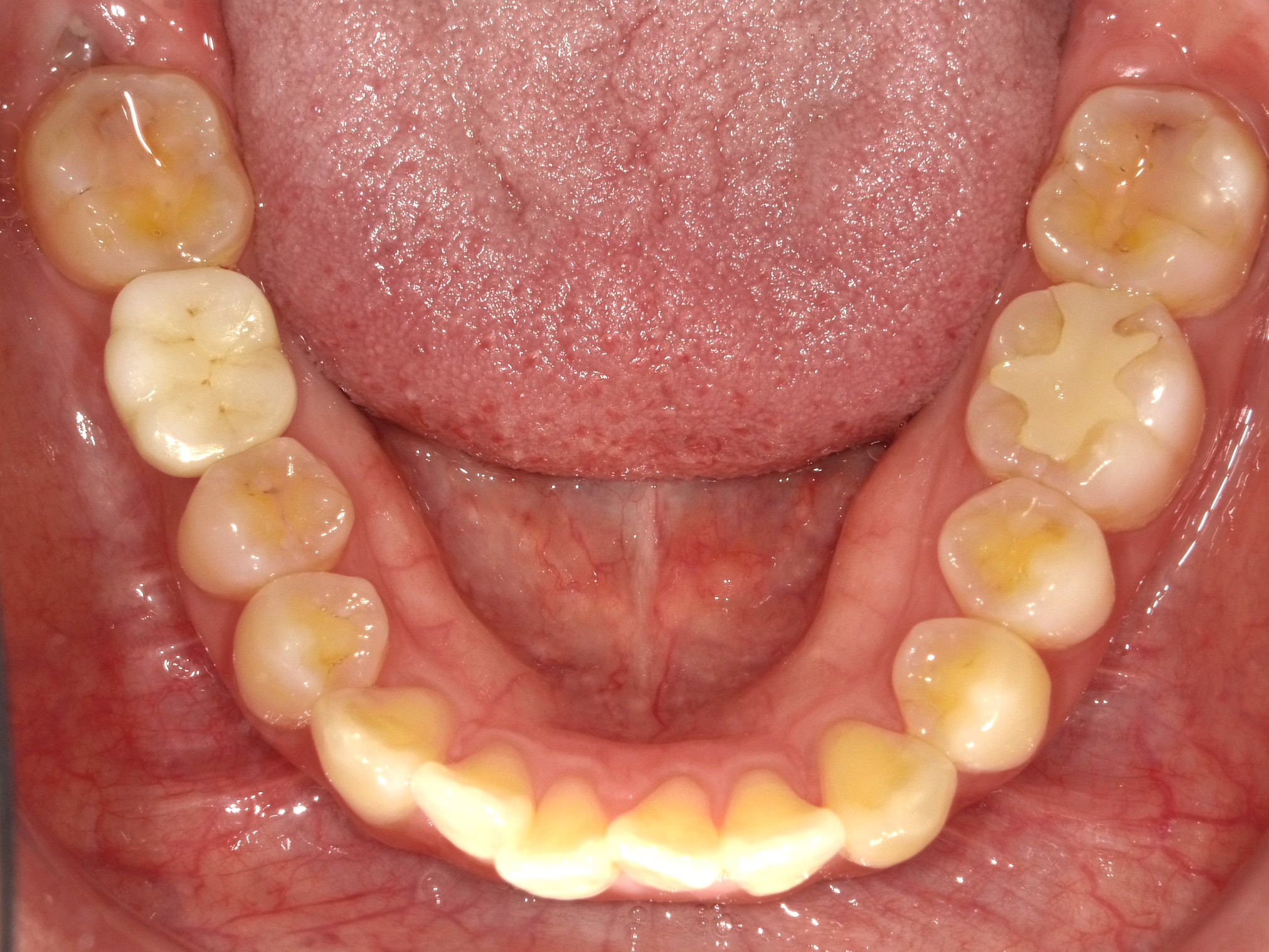
治療前
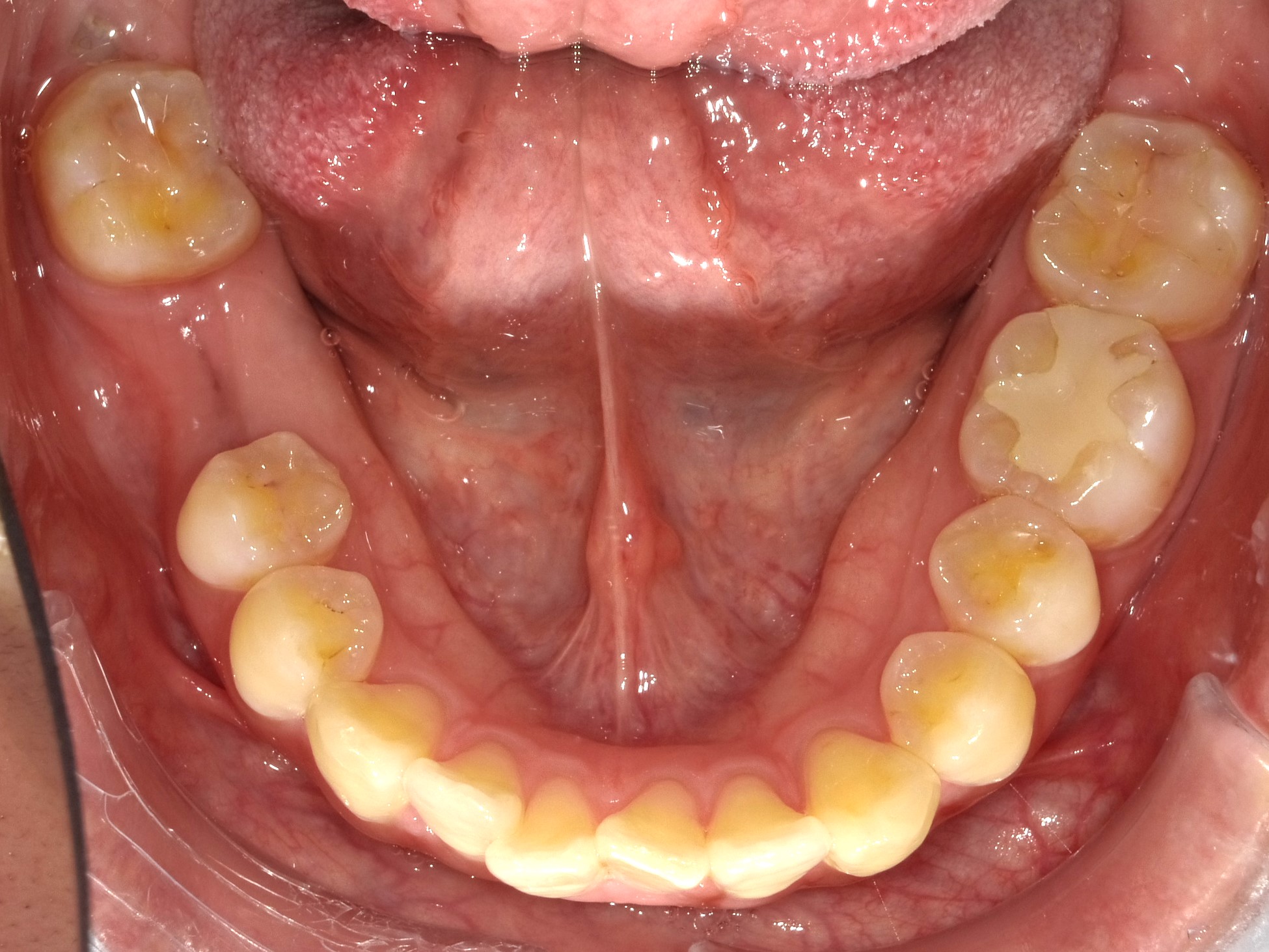
治療後
| 年齢・性別 | 30代・女性 |
|---|---|
| 主訴 | 右下6番むし歯にて状態悪く抜歯後、部分入れ歯を使用したが、違和感が強く使用不可の為、インプラント希望 |
| 期間 | 6か月 |
| 費用 | 552,850円 |
| 治療内容 | ※インプラント治療の流れについてはインプラント専用ページを参照して下さい。 |