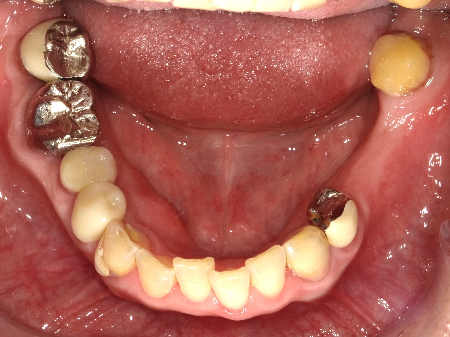
治療前
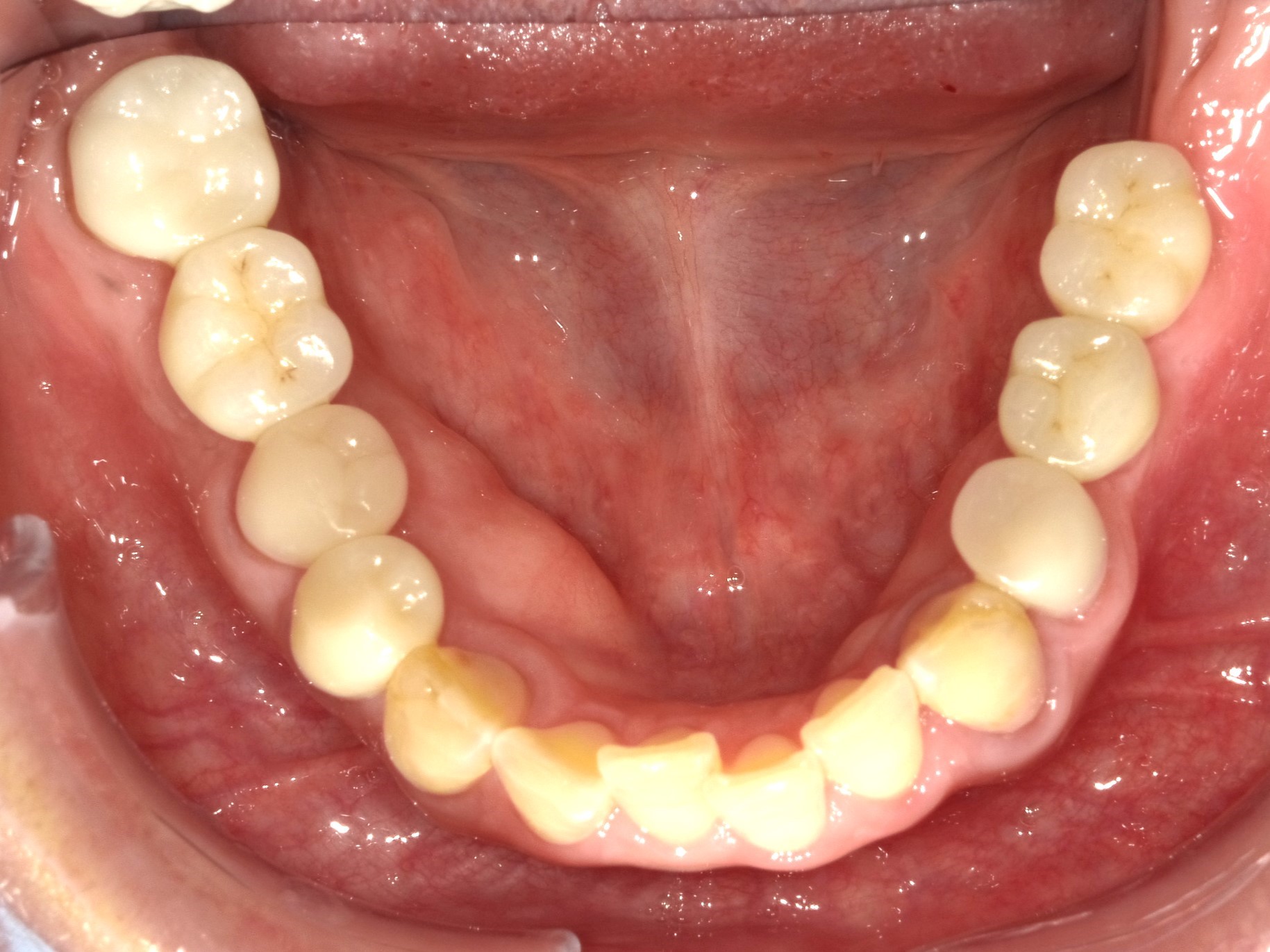
治療後
| 年齢・性別 | 50代・女性 |
|---|---|
| 主訴 | 左下歯が無いのでインプラント希望。又、右下6番の状態が悪く歯を抜いた後、インプラント希望。 |
| 期間 | 6か月 |
| 費用 | 1,433,100円 |
| 治療内容 | ※インプラント治療の流れについてはインプラント専用ページを参照して下さい。 左下4番・右下7番金属冠を除去し、保険の白い被せ物・セラミック冠へやり変えした。 |